🦷 TikTok Made Me Do It: Breaking Down Viral Dental Trends

We are all guilty of it- doom scrolling, in the middle of the night, videos regarding health and beauty hacks are starting to look like a good idea. However when it comes to your teeth, not everything that goes viral is safe—or even remotely smart. Let’s take a closer look at some of the most popular (and questionable) dental trends on social media and what you really need to know before trying them.

1. DIY Teeth Whitening with Baking Soda & Lemon Juice 🍋

What TikTok Says: Mix baking soda with lemon juice for a quick and cheap teeth whitening paste.

Reality Check:
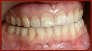
While this combo may make your teeth look whiter temporarily, it’s dangerously acidic. Lemon juice erodes enamel, and once it’s gone, it doesn’t come back. Baking soda is abrasive and can wear down your enamel even further, leading to tooth sensitivity and long-term damage.

Enamel Erosion of the Front Teeth

Dentist’s Verdict: Just don’t. Opt for professional whitening or safe at-home kits approved by dentists.

2. Filing Your Teeth at Home with a Nail File 😱

What TikTok Says: Want a straighter smile? Just file down the uneven parts of your teeth like nails!

Reality Check:
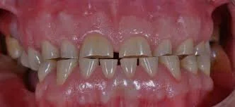
This trend is alarming. Your tooth enamel is finite—once you file it off, it’s gone for good. DIY filing can expose the sensitive inner layers of your tooth, lead to pain, decay, and even the need for crowns or veneers.

Excessive Tooth Wear

Dentist’s Verdict: This is irreversible and extremely risky. Leave reshaping to professionals with the right tools and training.

3. Charcoal Toothpaste for Whitening 🌑

What TikTok Says: Activated charcoal naturally whitens teeth and removes stains.

Reality Check:
Charcoal is gritty, and its abrasive texture can scratch enamel over time. It also doesn't contain fluoride, which is essential for preventing cavities. Plus, there’s little scientific evidence that charcoal is effective as a whitening agent.

Dentist’s Verdict: Use with caution—if at all. If you're looking for whitening, consult your dentist for safer options.

4. At-Home Veneer Kits 🦷

What TikTok Says: Snap-on veneers or DIY kits are a quick, affordable way to transform your smile.

Reality Check:
These kits often involve poorly fitting molds, cheap materials, and zero customization for your bite or oral health. Improper use can cause gum irritation, plaque buildup, or even jaw issues.

Dentist’s Verdict: Veneers are a medical procedure, not a craft project. See a licensed cosmetic dentist for anything involving permanent changes to your teeth.

5. Closing Tooth Gaps with Hair Elastics 🧵

What TikTok Says: Wrap an elastic band around your teeth to slowly pull gaps together—no braces needed!

Reality Check:
This method can cause teeth to shift unpredictably, damage roots, and even result in tooth loss. Orthodontics is a science for a reason—it’s about bone movement and precision, not rubber bands.

Gap Bands: Worrying Trend for Closing Gaps

Dentist’s Verdict: Do not attempt this. Teeth need to be moved gradually and under professional supervision.

Final Thoughts

Social media is a fun place to discover new ideas, but when it comes to your health—especially your smile—some trends are just too risky to follow. Remember: just because it’s viral, doesn’t mean it’s safe.

If you’ve seen a dental hack online and you’re not sure whether it’s safe, reach out to your dentist before trying it. Your smile deserves expert care, not TikTok guesswork.






Want the truth behind a trending dental hack??Schedule your consultation with Dr. Jean today by clicking HERE! or the contact button above.











Previous
Previous

Dental Implants for Dummies

Next
Next

I brush my teeth every day, and yet the dentist still found CAVITIES!?